본문 바로가기
즐겁게 건강하게

엄지발가락 통증 유발하는 10가지 질환

우리 인체중 발은 우리몸의 제 2의 심장이라고 할정도로 아주 중요한 부위이지요. 그래서 준비한 오늘 포스팅 주제는 바로 엄지발가락 통증에 관하여 알려드리겠습니다. 어떤 이유로 통증이 동반되는지 알아두시면 도움이 되실것 같아요.

목차

     

     

    엄지발가락 통증 질환

    1. 엄지발가락 통증 - 결절종

    야간에 통풍과 비슷한 양상으로 엄지발가락 통증이 발생하는 결절종은 관절 옆에 주머니가 생겨 안에서 관절액이 변질된 후에 응고되는 질환입니다. 보통 엄지발가락 관절의 옆에서 물렁한 지방덩어리 같은 것이 만져지거나 눈에 관찰되는 경우도 있고 육안으로 확인되지 않기도 합니다.

    2. 엄지발가락 통증 - 통풍

    밤부터 아침 사이에 화끈거리고 따끔거리는 엄지발가락 통증으로 잠을 이룰 수 없다면 통풍을 의심할수 있습니다. 통풍은 우리 몸의 특정한 물질대사 과정의 이상으로 체내에 요산이란 물질이 과다하게 축적돼 발생합니다.

     

    보통 혈액에 녹아 있다가 신장을 통해 대부분 소변으로 배설되는데 과도한 요산이 생성되거나 배설에 장애가 발생하게 되어 요산 결정이 침착되어 조직들의 염증 반응을 촉발합니다. 비만이나 과체중인 사람들에게 많이 발생하며 스트레스나 무리한 운동 등 몸이 피로할 때 체내 노폐물의 축적과 함께 혈중 요산 수치가 올라가 발생하기도 합니다.

     

    고혈압이나 당뇨병 처럼 유전이 되기도 하는 통풍은 실제 전체 통풍 환자의 30 ~ 40%가 유전의 경향을 보이라서 가족력이 있으면 한번쯤 혈액검사로 요산 수치를 검사해볼 필요가 있습니다. 보통 중년의 남성에게 많이 나타나는 질환으로 염증성 급성 관절염이라고 불리기도 합니다.

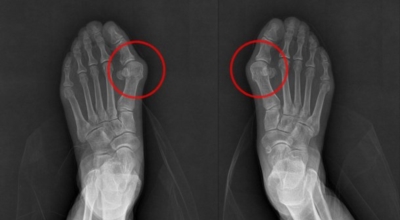
    3. 엄지발가락 통증 - 무지외반증

    우리에게 잘 알려져 있는 엄지발가락 통증의 원입니다. 선천적 요인으로 인한 발병보다는 하이힐, 뾰족구두, 키높이 깔창과 같이 앞이 좁고 엄지발가락에 자극이 심한 신발 유행으로 후천성 환자가 늘어나고 있습니다. 체중 증가나 류마티스 관절염도 무지외반증의 원인입니다. 엄지발가락이 둘째 발가락으로 휘어지면서 대측으로 회전해서 제1중족 관절이 안쪽으로 돌출되는 무지외반증은 서있거나 걸어 다닐때 신발과 마찰해 통증과 염증이 발생합니다.

     

    4. 엄지발가락 통증 - 졸자골염

    엄지발가락 밑에 위치한 발바닥에서 튀어나온 부분의 뼈를 종자골이라고 합니다. 이 부위가 마찰이나 기타원인으로 인해 붓고 통증이 아플수 있습니다. 특히나 염증이 생기면 엄지발가락 통증이 수반됩니다. 만일 발이 바닥을 디딜 때면 엄지발가락과 발바닥이 아프다면 종자골을 의심할수 있습니다.

    5. 엄지발가락 통증 - 당뇨병

    당뇨병으로 인한 당뇨병성 신경증이 엄지발가락 통증의 원인이 되기도 합니다. 일반적으로 엄지발가락이 차가운 느낌과 저림이 통증과 동반되어 나타납니다. 당뇨 때문에 혈중 당 수치가 높아집니다. 피속에 당분자가 너무 많아 혈액이 점조해져서 순환이 느려지고 지연되면 손발가락 끝등의 말초부위에 많이 축적이 될수 있습니다.

     

    이렇게 되면 말단부의 혈관 또는 신경이 손상을 입어 통증과 저림 증상이 나타나고, 발 쪽으로 감각이 둔화되면서 피부가 건조해지고 상처가 나면 낫지 않고 점점 더 심해져서 염증이 퍼지게 됩니다. 당뇨병으로 인한 발 혈관의 순환 장애, 말초신경질환 부분적 궤양 또는 감염 과 같은 치료시기를 놓칠 경우 엄지발가락이 괴사 또는 합병증을 일으킬수 있어 각별한 주의가 필요합니다.

     

    6. 엄지발가락 통증 - 내성발톱

    정확한 질환명은 조갑감입증으로 발톱이 살을 파고들어 가면서 부종과 염증을 일으키는 질환입니다. 발병초기에는 간혈적 통증 정도지만 염증과 부종이 악화되면 발을 내딛기 조차 힘든 극심한 통증에 시달리게 됩니다. 문제는 내성발톱으로 병원을 찾는 수가 적다는 것입니다. 현대인의 생활형 족지 질환인 내성발톱은 누구나 겪을 수 있는 만큼 통증을 참지말고 병원에 가서 적극적인 치료를 받아야 합니다.

    7. 엄지발가락 통증 - 관절염

    관절염은 선천적으로 엄지발가락 모양이 규칙적이지 않은 경우나 엄지발가락 발등뼈 길이가 긴 경우에 생기기 쉽습니다. 또 발이 안쪽으로 휘어있거나 비정상적인 걸음걸이가 습관이 된 경우 발병률이 높다. 이외에도 하이힐등의 발볼이 좁은 신발도 원인입니다. 이러한 신발을 신으면 엄지발가락이 휜 상태로 지내야 하므로 엄지발가락 연골 손상이나 관절염 위험이 높아집니다.

     

    8. 엄지발가락 통증 - 종자골염

    종자골은 엄지발가락 밑에 위치한 발바닥 부분에서 튀어나온 뼈를 의미하며 종자골이 마찰 과 같은 원인으로 인해 엄지발가락이 붓고 통증이 나타날 수 있어요. 발을 디딜 때 발바닥과 엄지발가락에 통증이 느껴진다면 종자골염을 의심해볼 수 있어요.

    9. 엄지발가락 통증 - 류마티스

    류마티스도 엄지발가락 통증 원인이 될 수 있어요. 물론 제일 처음 손가락에서의 관절 통증이 전해져 오는 게 특징적이지만 손가락 통증 이후 발가락에 통증이 전해졌을 때 손가락보다 발가락의 통증 강도가 강력한 경우도 있어요. 매번 아침에 일어날 때마다 몸 곳곳이 굳은 듯 뻣뻣함이 느껴지고 엄지발가락 통증은 물론 손가락, 무릎 등 몸 전체가 강직된듯한 느낌이 매번 든다면 류마티스를 의심해보셔야 합니다.

     

    10. 엄지발가락 통증 - 중족골통

    중족골통의 경우, 발가락 통증이라기보다 발가락 관절의 통증에 해당하지만, 환부에서 발가락 끝에 걸쳐 찡한 통증이 있다면 중족골통일 가능성이 높아요. 발끝으로 섰을 때 통증을 느낄 수 있어요.

    엄지발가락 통증 예방법

    발가락 통증을 예방하던가 완화하려면 제일 우선 발에 휴식을 주는 것이 먼저이지요. 오래 서있지 않고 발에 편한 신발을 신어 발을 자극시키지 않고 호전되길 기다려보다가 그래도 호전되지 않고 발가락에 통증이 느껴진다면 주사나 수술 과 같은 치료방법을 생각해볼 수 있어요.

     

    발가락 통증에 좋은 음식

    우리 몸속 장기들은 각기 다른 역할을 하지만 서로 긴밀한 관련성을 가지고 있기도 합니다. 이 중 한가지라도 문제가 생기면 건강상 위험한 영향을 끼칠 수 있어요. 요즘 현대인들 사이에서 흔히 나타나는 질환 중 한가지가 바로 요산 수치 증가이지요.

     

    이것은 체내 대사 과정에서 생성되는 노폐물인데 배출되지 않고 혈액 속에 남아 농도가 높아지면 통증 또는 관절 변형 증상으로까지 이어질 수 있어 주의해야 합니다. 따라서 평상시 요산 수치 관리에 도움 되는 식품을 계속해서 섭취하며 식단 조절할 필요가 있어요. 그렇다면 요산 수치 감소에 도움 되는 발가락 통증 통풍에 좋은 음식으로는 무엇이 있을까요? 이제부터 소개할 음식들을 참고해 보시기 바래요. 통풍에 좋은 음식은 수분함량이 높은 과일류이지요.

    수박이나 참외 같은 여름 제철 과일들은 대부분 수분함량이 높기 때문에 체내 축적된 요산을 배출하는데 큰 도움을 줍니다. 특히나 키위는 비타민C가 오렌지의 2배, 사과의 6배 정도 더 많이 들어있다고 합니다. 칼륨 또는 칼슘, 엽산 등 여러가지 영양소가 모두에게 함유되어 있으므로 면역력 향상에도 좋아요.

     

    또 양배추는 천연 해독제로 불리는 가장 유명한 식재료 중 한가지로 염증 완화에 특히나 뛰어나다고 합니다. 그 중에서도 푸른 겉잎보다는 속잎에 영양성분이 훨씬 풍부하기 때문에 버리지 말고 활용할 수 있게 합니다. 엄지발가락 통증에 관하여 알아봤어요. 저의 포스팅 내용이 도움이 되셨으면 좋겠습니다. 항상 건강하고 즐거운 하루 되시기 바래요.

     

    다른 사람이 많이 본 글

    전복죽 맛있게 끓이는 방법, 전복 효능 및 손질하는법

     

    전복죽 맛있게 끓이는 방법, 전복 효능 및 손질하는법

    원기회복 보양식으로 하면 어떤것이 먼저 떠오르시나요? 얼마전 병원신세를 지었던 저도 보양에 관심이 많아졌는데요. 오늘은 바로 전복죽 맛있게 끓이는 방법에 관하여 알려드리도록 하겠습

    everythingstory.co.kr

    2024년 띠 뭘까? 삼재띠까지 총정리

     

    2024년 띠 뭘까? 삼재띠까지 총정리

    오늘은 2024년 띠에 관하여 알아보도록 합니다. 가족계획을 준비하시거나 결혼등 중요한 행사 때문에 알아보시는 분들이 많으실 것 같아 오늘 2024년 띠 포스팅을 준비 했어요. 목차 12간지 설화를

    everythingstory.co.kr

    7080노래모음 연속듣기 리스트 추천

     

    7080노래모음 연속듣기 리스트 추천

    오늘은 7080노래모음을 소개해드리려고 합니다. 연속으로 광고없이 들을수 있는 유튜브를 알려드릴껀데요. 세대를 아우러 7080음악은 스토리가 있으며 멜로디에 서사가 담겨있어 많은분들이 잊

    everythingstory.co.kr