최근 정형외과 환자 중 발바닥 통증을 호소하시는 분들이 부쩍 늘었다고 하는데요 그 중 많은 분들이 족저 근막에 염증이 있는 족저 근막염 환자라고 합니다. 오늘은 족저 근막염 증상과 족저 근막염 치료법에 대해 자세히 알아보겠습니다.

족저 근막염이란?
족저 근막이란 발가락 시작지점부터 발뒤꿈치뼈까지 발바닥 전체를 감싸고 있는 두꺼운 막입니다. 족저 근막은 발바닥 아치를 유지해 발바닥이 지면을 내딛음으로써 발생하는 충격을 흡수하는 중요한 역할을 수행하는데요 이 족저 근막에 일차적으로 서서히 조직 손상이 일어나고 계속적인 활동으로 인해 염증이 커지면서 발 뒤꿈치 부근 통증을 일으키게 되는데요 염증은 무리하고 반복적인 동작, 과도한 사용으로 마찰에 의해 발생합니다.
족저 근막염은 염증에 의한 손상 및 통증을 유발하는 질환인데요 족저 근막염 증상은 일반적인 발뒤꿈치 통증 하글런드 병변의 기형으로 알려져 있으며 아킬레스 건과 관련이 깊습니다. 특히 근육이 덜 풀린 아침 시간 대는 보행 시 날카롭고 바늘로 찌르는 듯한 심한 통증을 느끼게 된다고 합니다. 그러나 아침 시간 대를 지나 오후에 접어들면서 어느 정도 통증은 서서히 감소하기 시작한다고 하는데요 초기 증상이 나타난다면 반드시 전문의를 찾아 조기에 치료하는 것이 바람직합니다.






족저 근막염의 원인
족저 근막염의 주 원인으로 많이 알려져 있는 원인들은 다음과 같습니다.
- 노화에 따라 충격을 흡수할 아치가 무너져 족저 근막이 손상되는 경우
- 잘못된 보행습관
- 당뇨합병증
- 높은 곳에서 하강하며 발바닥으로 착지한 경우
- 무리한 운동
- 계단오르기, 달리기, 등산 등 발바닥에 많은 하중이 전해지는 운동
이외에도 족저 근막염은 슬리퍼를 신고 오랜시간 걷는다거나 족저 근막은 걷거나 달릴때 지속적으로 충격을 받게되는데요 이후 충분한 휴식이 동반되지 않아 회복되지 않는다면 손상부위가 염증조직으로 변하고, 통증이 나타나게 됩니다. 이때 족저 근막에 염증이 생겼다고 해서 족저 근막염이 되는 것입니다.






족저 근막염 증상
족저 근막염 증상은 보통 서서히 발생하며, 특징적으로 환자는 아침에 일어난 직후 처음 몇 발자국을 걸을 때 심한 통증을 호소합니다. 아침에 일어나서 첫 걸음을 걸을 때 수면 중 이완되지 않아 있던 족저 근막이 쫙 펴지면서 극심한 통증을 느끼게 된다고 하는데요 또한 장시간 걷거나 계속 서 있어도 통증이 증가되고, 체중이 실리면 통증이 더욱더 심해지는 게 일반적입니다. 발꿈치 안쪽을 눌러보면 묵직한 통증이 있는 것이 특징이라고 할 수 있습니다.
아래에 자가진단 리스트로 족저 근막염 증상인지 체크해 보세요.
앉았다 일어서면서 걷기 시작했을때 발 뒤꿈치에 심한 통증을 느낀다.
발 뒷꿈치에 덩어리가 느껴지고 만졌을 때 통증이 있다.
아침에 일어나서 몇발짝 걸었을 때 찌릿한 심한 통증을 느낀다.
발 뒤꿈치 안쪽의 심한 통증을 느낀다.
발 아치 중앙에 심한 통증이 있다.
발과 발가락 사이 경련 증상이 있다.






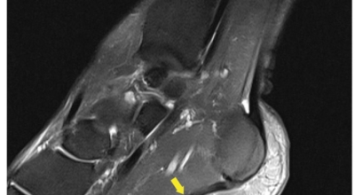
족저 근막염 진단법
발뒤꿈치뼈 전내측 종골 결절 부위의 명확한 압통점을 찾으면 진단이 가능하고 족저 근막의 방향을 따라 발바닥에 전반적인 통증을 보이는 것을 확인할 수도 있습니다. 발가락을 발등 쪽으로 구부리거나 환자가 발뒤꿈치를 들고 서 보게 하여 통증이 증가되는 것을 보는 것이 진단에 도움됩니다. 증상이 전형적인 족저 근막염의 양상이 아니거나 적절한 치료에도 호전이 없는 경우 다른 질환의 감별 진단을 위하여 엑스레이 검사, CT, MRI, 근전도 검사 등을 시행하게 됩니다.
족저 근막염 치료법
족저 근막염 치료법에는 비수술 치료와 수술 치료법이 있습니다.
1. 비수술 치료
초기, 급성기에는 통증이 줄어들 때까지 진통 소염제를 복용하고 그 후 발바닥, 발목, 종아리에 스트레칭 운동을 합니다. 그 방법으로 효과적인 것인 냉동 캔 굴리기인데 얼린 페트병이나 캔 위에 발을 올려서 발바닥을 대고 앞 뒤로 왔다 갔다 해주는 스트레칭 운동입니다. 통증이 심하거나 만성인 경우 물리치료(체외충격파, 레이저치료)는 신경세포를 자극하여 통증이 원인이 되는 염증성물질을 제거하고 새 조직의 증상을 도와줍니다.






또한 과체중인 경우 체중을 감량하면 통증이 감소할 수 있습니다. 다른 치료를 충분히 사용한 후에도 증상 호전이 없을 때 스테로이드 주사를 사용하게 되는데요 스테로이드의 반복 사용은 족저 근막의 급성 파열 위험이 있고 뒤꿈치 지방 패드의 위축을 초래할 수 있으니 반복적인 주사는 피하는 것이 좋다고 합니다. 요족 변형이 있다면 깔창을 이용해 변형을 교정을 해 주는게 도움이 될 수 있습니다.
2. 수술 치료
비수술적 치료로 대부분 족저 근막염 증상이 나아질 수 있지만 일부 환자는 수술이 필요한 경우가 있습니다. 수개월간의 비수술적 치료를 했음에도 발 통증이 계속되면 수술을 고려해봐야 하는데요 수술을 통해 족저 근막을 늘려주는 방법을 고려해 볼 수 있습니다. 최근 관절경을 이용하여 족저 근막 절개술을 시도하기도 하는데 수술적 치료의 성공률은 70~90%로 높게 알려져 있다고 합니다. 하지만 수술 후 신경 손상 등의 합병증이 유발될 수 있으므로 잘 알아보고 수술을 결정하시는 게 좋겠습니다.






족저 근막염 예방법
1. 엄지발가락 운동
엄지발가락을 위아래로 크게 올렸다 내렸다 하는 동작을 수시로 반복해줍니다. 발 전체의 스트레칭과 혈액순환에 도움을 주며 통증 완화에 효과적이라고 합니다.
2. 발가락 스트레칭
수면중에 수축되어있던 근육을 풀어주는 게 중요한데 일어나 첫걸음을 내딛기 전 간단한 스트레칭과 마사지를 해주는 것이 좋습니다. 무릎을 똑바로 펴고 발가락을 머리 쪽으로 당겨 올리면서 약 30초 유지해주면 좋으며 이런 동작을 3~4번씩 반복해주면 통증이 줄어듭니다.
또한 발가락을 펴줬으면 다시 구부리는 동작도 같이 해주면 통증 완화에 도움을 줄 수 있습니다. 발바닥을 어딘가에 고정하고 발가락만 움직이게끔 해서 웅크려 주기를 반복하면 좋습니다. 이런 동작을 3~4번씩 반복하고 아침에 기상 직후나 잠들기 전에 해주시면 도움이 됩니다.






3. 타월 스트레칭
바닥에 앉아서 타월로 통증이 있는 발을 감고, 무릎을 쭉 펴고 타올을 당겨서 발을 몸 쪽으로 당겨지게 되는데 이 상태를 30초가량 유지하며 5회 반복하면 효과적입니다.
족저 근막염 증상과 족저 근막염 치료법에 대해 알아봤습니다. 도움이 되셨기를 바랍니다. 오늘도 행복하고 즐거운 하루 보내세요. 방문해 주셔서 감사합니다.
다른 사람이 많이 본 글